
The dedication of a skilled dentist and ceramist can ensure that every patient receives the beautiful smile he or she expects. The following clinical cases demonstrate the potential of today's ceramic technologies and the skills of the Master Ceramist in achieving the optimal smile.
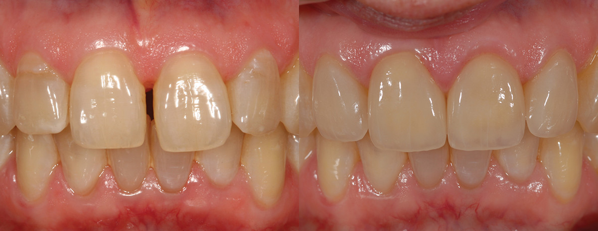
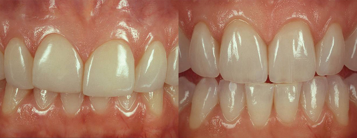
Maxillary 5-12
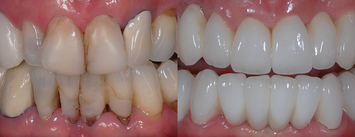
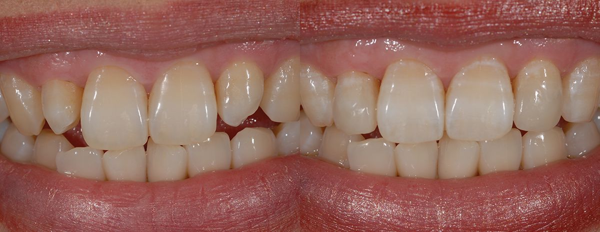
View Case StudyMaxillary 7-10
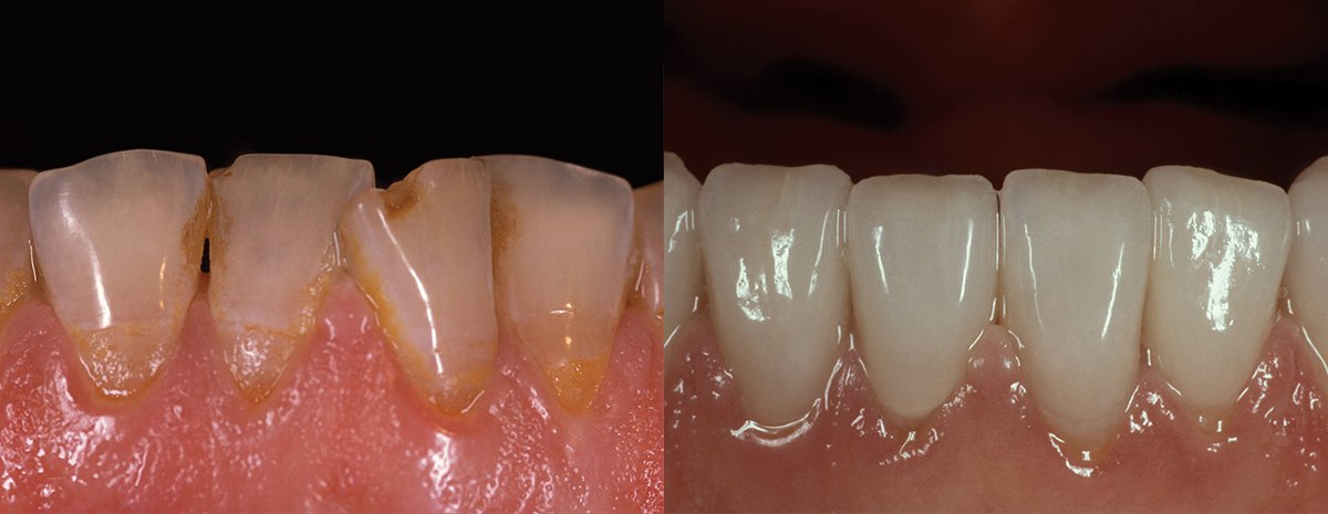
View Case StudyMandibular 21-28
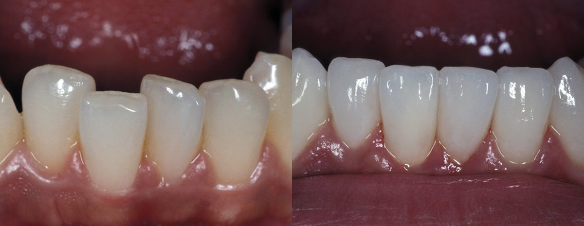
View Case StudyMandibular 22-27
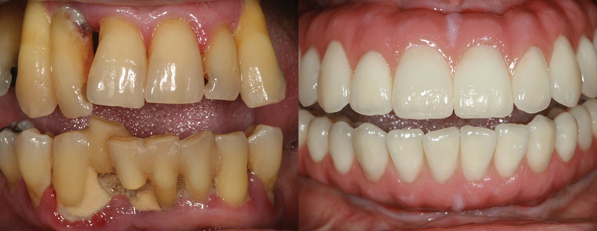
View Case StudyImplant Supported Fixed Metal Crowns - Maxillary 3-14, Mandibular 19-22, 28-30 (metal ceramic bridges)
View Case StudyImplant-Supported Hybrid Porcelain Bridge (White & Pink) - Maxillar & Mandible
View Case StudyMetal Ceramics with Ceramtic Butt Sholders - Maxillary 4-13
View Case StudyProcera Alumina all Ceramics Maxillary 7-10
View Case StudyZirconia Ceramic Crowns Maxillary 3-14
View Case StudyFixed Partical Denture in Zirconia Ceramic Bridges Maxillary 3-11, 14, Mandibular 19-30, Metal Ceramics 12-13
View Case StudyMaxillary 7-10
View Case StudyMaxillary 7-10
View Case Study