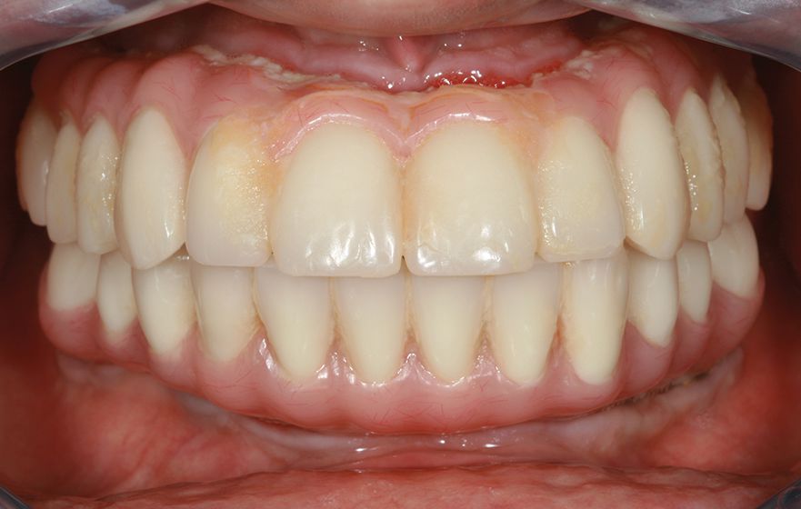
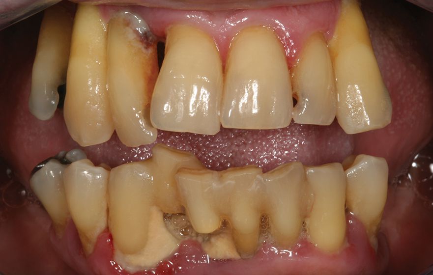
Case 2: Implant Restorations: Implant-Supported Hybrid Porcelain Bridge (White & Pink) Maxillar and Mandible
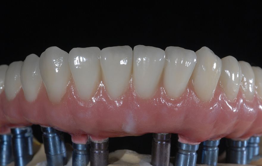
Laboratory: Wax frame design to support porcelain Laboratory: Precious alloy frame casting Final fixed implant denture stage before porcelain design Laboratory: Preparation for pink and white porcelain Laboratory: Porcelain build-up utilizing layering technique Laboratory: Precison fit control during bake Light refractory: Various pink ceramics used for prosthetic gum solutions Laboratory: Initial pink and white porcelain bake to design Utilizing multi-colored porcelain to build tooth form Utilizing multi-colored porcelain to build tooth form Utilizing multi-colored porcelain to build tooth form