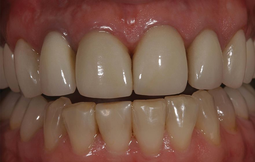
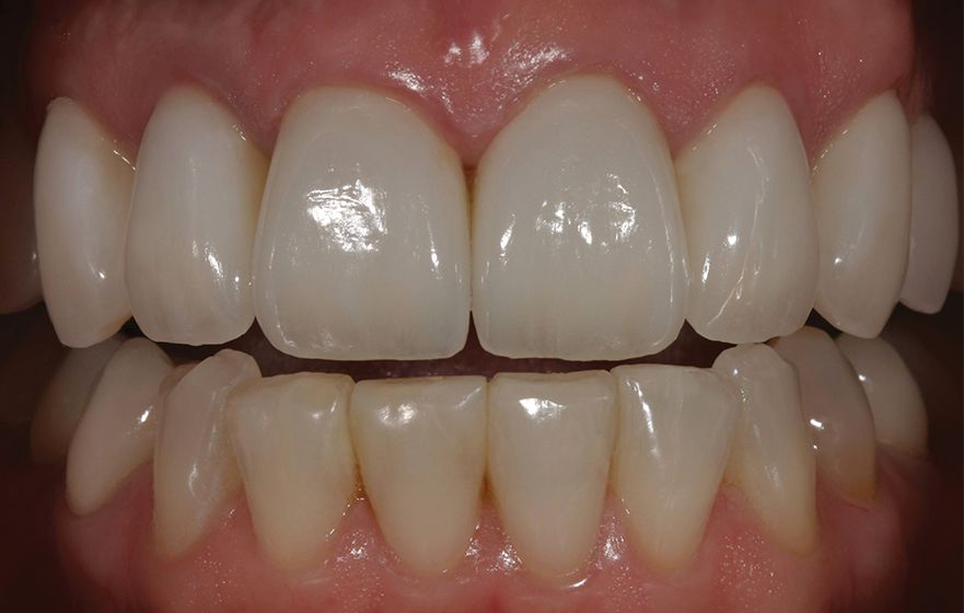
Porcelain Crowns: Case No. 2 (High Performance Ceramic Based) Zirconia Ceramic Crown - Maxillary 3-14
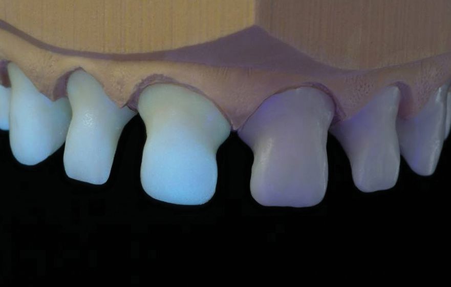
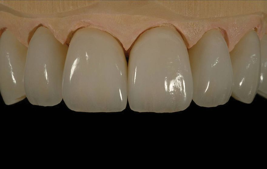
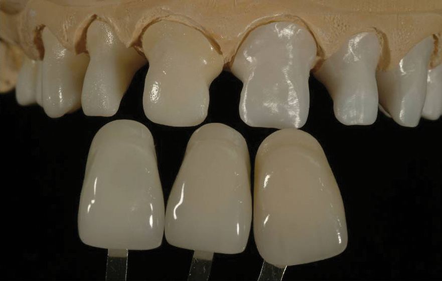
Laboratory: Design for proper support CAD/CAM zirconia ceramic before porcelain application Light-reflective zirconia framework Laboratory: Base color enhancement to match selected shade Light-reflective enhancement of high-performance ceramic base Utilizing multi-coloed porcelain to build tooth form Natural light transmission of zirconia with porcelain Zirconia ceramics, complete with customized multi-layer porcelain