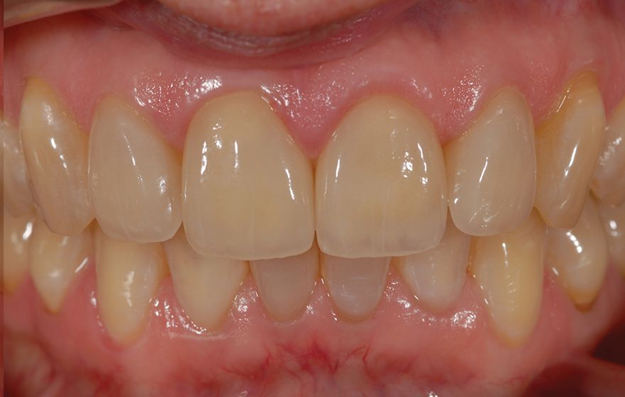
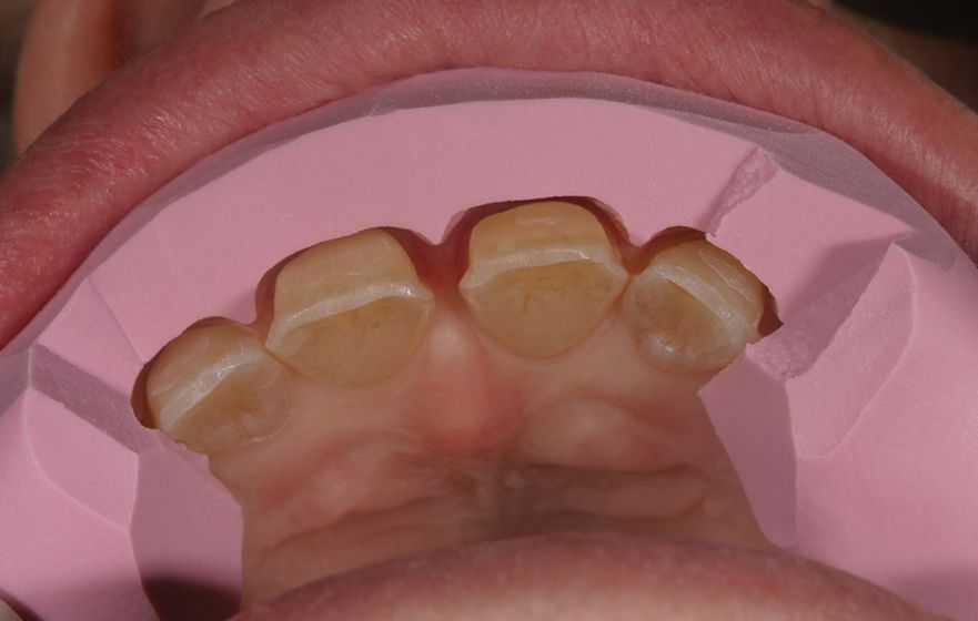
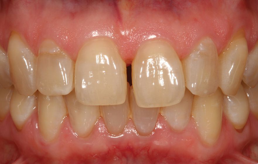
Patient's Current Teeth Position Laboratory: First Stage of Design Guides for Clinical Preparation Clinical preparation utilizing guide Laboratory Preparation Laboratory: Porcelain layering process accoarding to design Final smile preview design